
Профессиональный подход врачей
В стоматологии работает сплоченный коллектив врачей с большим практическим опытом. Многие специалисты сотрудничают более десяти лет, что помогает поддерживать единый подход к лечению и качеству работы. Регулярное обучение, участие в семинарах и профессиональных программах позволяют использовать современные методики и выбирать наиболее подходящие решения для каждого пациента.
Оборудование и рабочая среда
Рабочие кабинеты оборудованы дентальными установками, низколучевым рентгеном и системой визуального контроля, помогающей оценивать состояние зубов и тканей. Все используемые материалы проходят сертификацию и регистрацию в Республике Беларусь. Работа ведется в соответствии с действующими клиническими протоколами Министерства здравоохранения.
Комфорт и обстановка
Интерьер стоматологии организован с учетом удобства пациентов. Отдельные просторные кабинеты позволяют проводить прием в организованной и спокойной обстановке. Внимательное отношение специалистов помогает пациентам чувствовать себя уверенно на каждом этапе лечения.
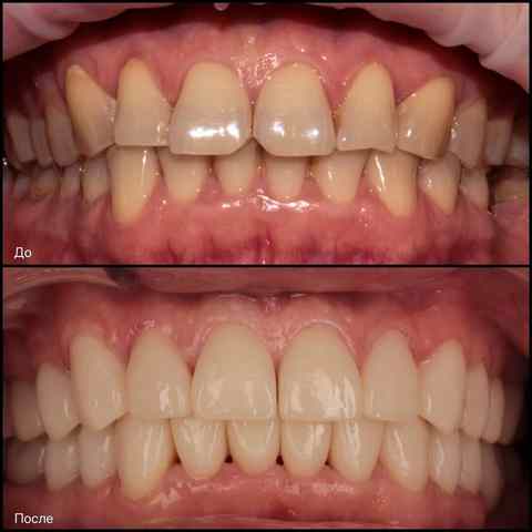
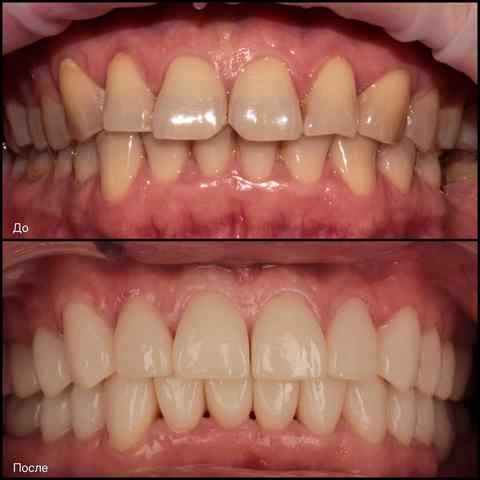
Стоматология «Триомед» занимается диагностикой, профилактикой и лечением заболеваний полости рта. Широкий спектр направлений позволяет оказывать комплексную помощь и учитывать индивидуальные потребности каждого пациента.
Направления работы:
Стоматология находится в шаговой доступности от станции метро «Ковальская Слобода». Все процедуры проводятся в соответствии с утвержденными медицинскими стандартами с применением зарегистрированных материалов.
Стоматология «Триомед»: «Каждый прием — маленькое чудо для вашей улыбки!»